“Surprising Discovery: Live Snake Parasite Found in Woman’s Brain”

**Breaking: Live Snake Parasite Found in Woman’s Brain After Months of Unexplained Illness**

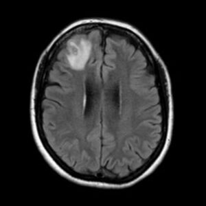
A woman in Australia’s New South Wales was diagnosed with a rare and bizarre infection after suffering from unexplained abdominal pain, diarrhea, night sweats, and a persistent cough. Despite a battery of tests—checking for bacteria, fungi, human parasites, and autoimmune diseases—doctors found no answers. But weeks later, a CT scan of her chest revealed something moving in her lungs, and an MRI of her brain turned up a glowing spot in the frontal lobe.

It wasn’t cancer, nor an infection, but a living worm: Ophidascaris robertsi, a snake parasite. Normally found in carpet pythons, this was the first known human case. Doctors suspect the woman ingested parasite eggs while collecting native plants near her home. Following surgery to remove the worm, the woman’s condition improved, but the discovery highlights an alarming trend of animal-borne diseases spilling over to humans as wildlife habitats and human populations overlap.

**Breaking: Snake Parasite Found Alive in Woman’s Brain After Mysterious Illness**

A woman in New South Wales, Australia, has been diagnosed with a rare and terrifying infection after months of puzzling symptoms, including severe abdominal pain, night sweats, and a persistent cough. Initially, doctors could find no cause, but a CT scan and MRI revealed a shocking diagnosis: a live snake parasite, *Ophidascaris robertsi*, thriving in her brain.

This species typically infects carpet pythons, but in a strange twist, it appears the woman accidentally ingested parasite eggs while collecting wild plants. The infection marks the first human case of this type of parasite. Surgeons successfully removed the parasite, and the woman is recovering, but experts warn this unusual infection is a sign of a growing risk as human and animal habitats continue to overlap.

**Breaking: Snake-Borne Parasite Found Alive in Woman’s Brain, Doctors Stunned**

A baffling medical mystery has been solved in Australia after doctors discovered a live snake parasite in a woman’s brain. The woman, who had been battling unexplained symptoms like abdominal pain, a dry cough, and fatigue for months, underwent multiple tests—all of which came back negative. However, a CT scan later revealed a moving spot in her lungs, and an MRI of her brain uncovered a strange glowing area.

In an unexpected twist, surgeons discovered a wriggling worm in her brain: *Ophidascaris robertsi*, a parasite usually found in carpet pythons. This marks the first-ever human case of the infection. Doctors believe the woman may have accidentally consumed parasite eggs while gathering native plants. After removing the parasite and starting treatment, her condition has improved, but the case raises concerns about the spread of animal-borne diseases to humans.

 

Related posts

Police Recover 19 Stolen Cattle in Nakaseke District, Arrest Two Suspects

@BBC

**JUST IN: Three Killed in Fatal Crash on Entebbe Expressway in Uganda**

@BBC

Tanzanian Opposition Figure Tundu Lissu Wins Treason Case — Yet Chooses to Remain Jailed

@BBC